(본 내용은 출판된 서적 (자연에서 발견한 위대한 아이디어 39)의 처음 일부입니다.
아카데미 4개 부문을 수상한 영화 <기생충>(2019, 대한민국)에 나오는 복숭아 알레르기 장면은 많은 사람들의 공감을 얻었다. 그만큼 우리나라 사람들에게는 알레르기가 많이 퍼져 있다. 국민 6명당 1명이 알레르기로 힘들어하고 있다. 인간은 오래전부터 복숭아를 먹어왔는데, 왜 일부 사람들은 복숭아에 알레르기 반응을 일으키는 것일까?
알레르기로 인한 가장 흔한 증상은 콧물과 재채기다. 이는 면역세포가 복숭아털을 적으로 간주해서 몸 밖으로 내보내려는 ‘고육지책(苦肉之策)’이다.
그렇다면 몸은 어떻게 복숭아털을 적으로 간주하는 것일까? 만약 그 해답을 안다면 복숭아 알레르기를 비롯한 아토피, 천식 등 소위 알레르기 질환을 치료할 수 있는 해결책을 알아낼 수도 있을 것이다.
* 기생충 알을 먹은 괴짜 연구자
자기 몸에 직접 기생충 알을 주입한 괴짜 연구자가 있다. 1976년 영국 과학자 터튼은 기생충 알 250개를 삼켰다. 그는 지난 25년간 꽃가루 알레르기(hay fever)로 매년 항히스타민제를 먹어야 했다. 연구자로서 그는 기생충이 알레르기를 치료할 것이라 굳게 믿고 있었고, 이를 증명하기 위해 기생충을 일부러 본인에게 감염시킨 것이다.
2년 뒤, 터튼은 유명 의학잡지인 <란셋(Lancet)>에 이에 관한 결과 논문을 냈다. ‘내가 기생충 알을 먹고 나서 그 후 2년간은 꽃가루 알레르기가 전혀 없었다’는 결론이었다. 대상자가 1명인 임상실험이라 ‘이론이 맞다’고 할 수는 없지만, 이 논문은 알레르기 원인을 연구하던 다른 연구자들에게 새로운 가능성을 제시했다.
정말 기생충이 알레르기를 없앨 수 있을까? 기생충이 우리 몸에서 무슨 일을 하고 있는지를 알면 답이 나올 것이다. 먼저 기생충과 우리 몸 면역과의 한판 승부를 들여다보자.

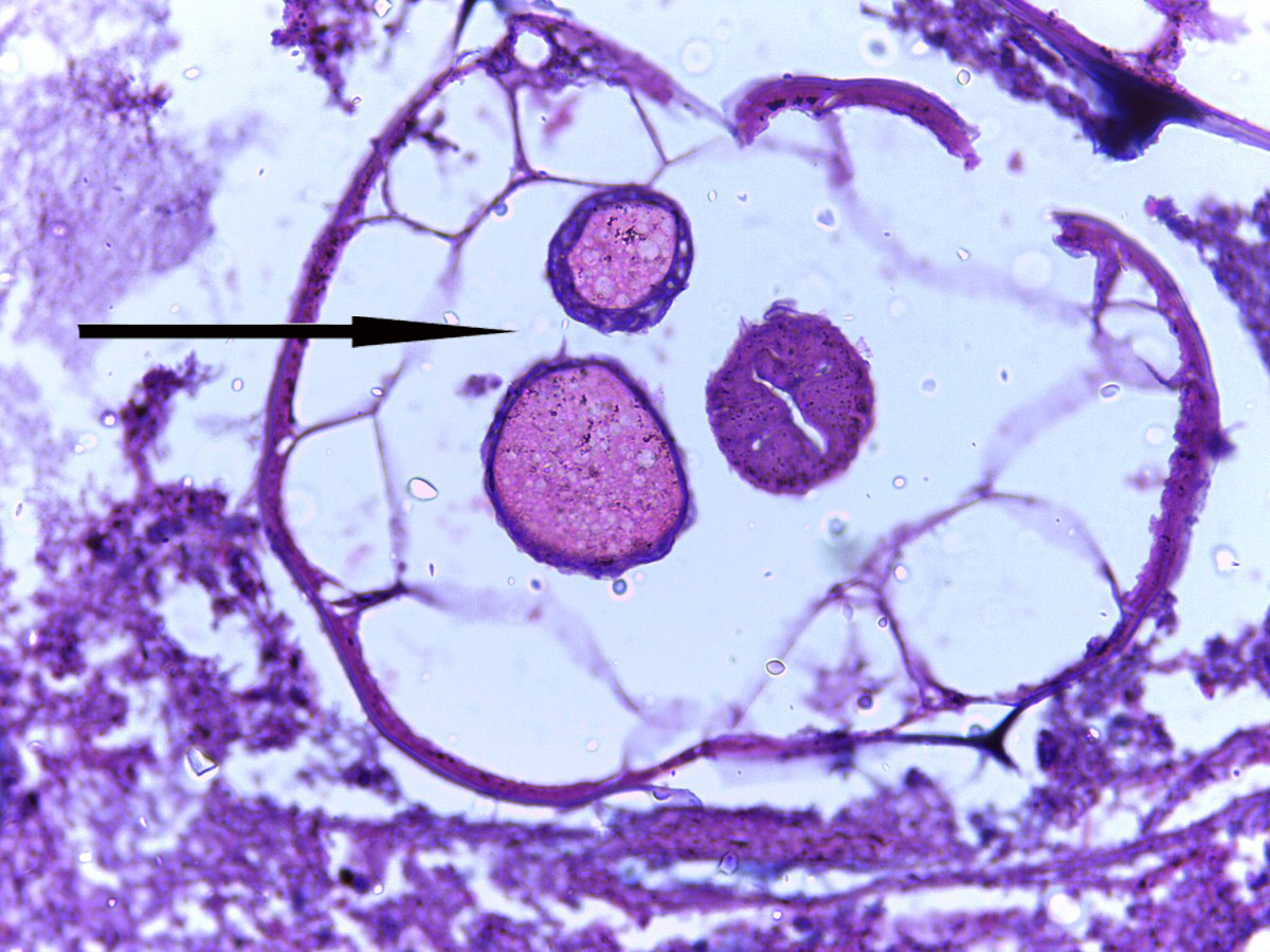
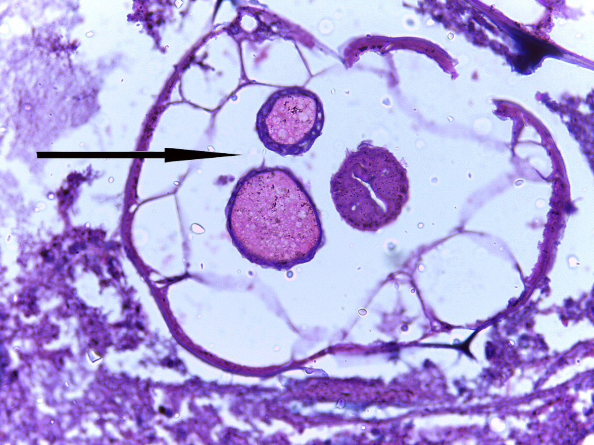
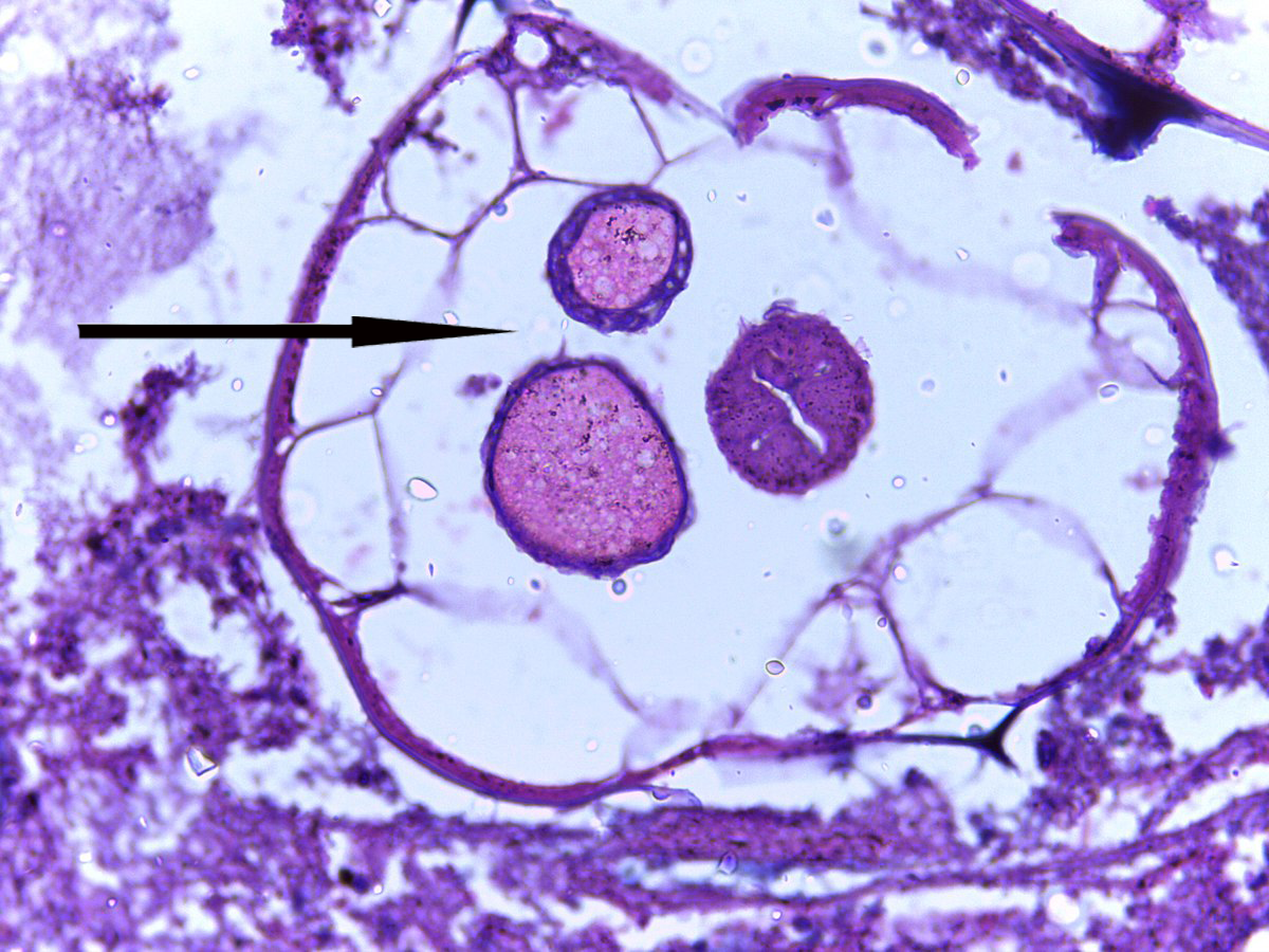
밭에 버린 인분 속 기생충 알이 여행을 시작했다. 채소에 달라붙은 기생충은 이를 섭취한 사람 몸속의 대장까지 들어갔다.
‘대장에 겨우 자리를 잡았네. 여기는 살 만한 곳이야. 먹을 것도 매일 들어오고 따끈따끈하고. 이제는 슬슬 자손을 전파해 볼까?’
기생충 알들이 혈액까지 들어간다. 혈액 속 면역물질들(보체)이 기생충 알을 발견하자 겉에 착 달라붙는다. 소시지에 치즈 가루가 점점이 뿌려지듯 끈끈한 보체가 기생충 알을 덮는다. 이 치즈 가루 냄새를 잘 맡는 면역세포들이 냄새를 추적하여 기생충 알을 잡아끌고 멱살을 쥔다. 이어서 기생충 알 내부에 구멍을 내고 강력한 독소로 녹여버린다. 알을 처치한 면역세포들은 기생충 알의 근원지를 찾아 나선다. 하지만 기생충 자체는 면역세포가 죽일 수 없는 초대형 생물체다. 공룡과 스컹크의 싸움 정도다.
면역세포들은 미사일(항체)을 발사하여 기생충을 괴롭힌다. 하지만 면역세포들도 알고 있다. 사람 몸속의 영양분을 조금씩 가로채서 먹는 것 이외에 기생충은 사람을 죽일 만큼 큰 문제는 자주 일으키지는 않는다. 한두 번 기생충과 싸워본 면역세포들은 서로 이야기한다.
‘야, 저 기생충을 죽자 살자 공격할 필요는 없을 것 같다. 그냥 모른 척해라!’
이른바 상대방을 봐주는 ‘면역관용(寬容)’이 생긴다. 특히 점막 부근에 있던 면역세포들은 점막 바깥에 있는 기생충을 더 이상 적으로 보지 않는다. 우리 몸의 면역과 기생충은 그렇게 100만 년을 같이 지내왔다. 이른바 ‘공생(共生)’이다.
* 기생충이 사라지자 면역 균형이 깨지다
이런 공생 상태로 수백만 년을 지낸 면역-기생충 관계에 변화가 생겼다. 손을 잘 씻고 음식을 날것으로 먹지 않고 구충제를 먹는 등 현대 산업사회의 위생적인 환경 탓에 기생충이 사라졌다. 70년대만 해도 84%였던 기생충 보유율이 지금은 2%다. 우리 몸의 DNA는 구석기시대 이후로 600만 년간 그대로인데 불과 10여 년 사이에 내부 기생충이 모두 사라진 것이다. 그 결과 어떤 일이 생길까? 면역세포들의 이야기를 들어보자.
‘이봐, 신참 면역병, 저기 점막 건너편에는 외부인들이 득실대는 곳이야. 수상한 놈이 들어오는지 잘 지키라고!’
그날 밤 면역상황실에 비상이 걸렸다. 신참 면역병이 점막 근처에 뭐가 얼씬댄다고 총을 수십 발 갈기고 수류탄을 던졌다. 현장에 출동한 상황실장이 파악해 보니 적들의 시체는 보이지 않고 쥐새끼 한 마리만 있었다. 무기 발사로 주위 건물은 박살이 나 있었다.
‘야, 신참! 너 훈련소에서 전투를 해보기는 했어? 왜 그렇게 아무 데나 갈겨? 쟤들은 별것 아니잖아. 쟤들은 그냥 놔두어도 돼!’
신참 면역병이 투덜댄다.
‘왜 나만 가지고 그래요? 내가 적과 싸워본 적이 없으니 적인지 아닌지를 모르죠. 한번은 맞붙어봐야 그놈이 기생충인지, 그래서 놔두어도 되는지 알 것 아니에요?’
점막에 붙어 있던 기생충들과 잽을 날리면서 맷집을 키워왔던 예전 선배 면역세포들과 달리 요즘 신참들은 너무 깨끗한 곳에서만 지내서 싸워본 경험이 없다. 그래서 조그만 외부 이물질, 예를 들어 꽃가루만 만나도 기겁해서 총을 쏴댄다. 이게 면역 과민반응이고 아토피, 천식 등의 알레르기 반응이다. 이런 학설, 즉 환경이 너무 깨끗해서 면역이 외부 적과 잽을 날려본 경험이 줄어들고 그래서 조그만 자극에도 예민한 반응이 생긴다는 이론이 소위 ‘위생가설(Hygiene Hypothesis)’이다. 이 가설을 뒷받침하는 많은 연구가 있다. 예를 들면, 전 세계적으로 기생충이 없는 서구 지역에 오히려 아토피, 크론병 등 자가면역질환이 많다. 지금은 이 학설을 기반으로 무너진 면역 균형을 다시 원위치하여 알레르기 등 면역 이상을 해결하려는 연구, 치료법 등이 등장하고 있다. 그 치료법 중의 하나가 기생충 키우기다.

'5-재미있는 바이오이야기 > (7)자연모방기술-생활속 바이오' 카테고리의 다른 글
| (생체모방기술 40). 세포 속 작업을 모방해서 만들었다; PCR (0) | 2023.07.11 |
|---|---|
| (생체모방기술 38). 최강의 독으로 얼굴 미인을 만든다 - 보톡스 (0) | 2023.06.27 |
| (생체모방기술 36). 카멜레온의 변신을 현실화하다 – 구조색 적용 기술 (0) | 2023.06.13 |
| (생체모방기술 35). 솔방울처럼 습도를 인식하다 - 자동 통풍 옷 (0) | 2023.06.07 |
| (생체모방기술 34). 한눈에 빠르게 360도를 본다 – 인공 잠자리 눈 (0) | 2023.02.23 |
댓글