
이삿짐을 정리하던 집사람이 환호한다. 필자의 오래된 배낭 속에서 현금다발을 발견한 거다. 용도를 의심하는 눈치다. 배낭 속에 함께 있던 플래시, 초, 라디오처럼 ‘전쟁 비상용품’으로 준비해놓은 돈이라는 내 설명에 긴가민가 한다. 집사람은 횡재에 기뻐하지만 나는 횡액이 아닐까 걱정이다. 어떻게 그 현금 뭉치를 까맣게 잊어버리고 있었을까. 치매인가?
돈다발을 어디에 두었는지 가물거린다면 건망증이지만 오만원권 화폐 속 신사임당이 누구인지 모른다면 그건 치매다. 건망증이 심해진다면 그건 치매 전조증상이다. 건망증의 10%가 치매로 발전하기 때문이다. 치매는 왜 생기고 예방과 치료대책은 있을까? 아직 치매 치료 약은 없는 상황에서 첨단과학이 그 답을 장내세균에서 찾고 있다.

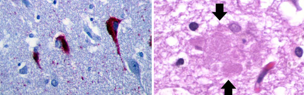
치매 환자 두뇌에서 장내미생물 껍질이 발견되었다.
코로나19 환자는 완치되어 바이러스가 사라졌어도 머리가 안개처럼 뿌연 ‘브레인 포그(Brain fog)’ 후유증 때문에 괴롭다. 감기바이러스는 상부 호흡기로 감염되지만, 코로나19는 하부 호흡기로 침투해서 고열이 나고 폐 기능이 급격히 떨어진다. 그런데 왜 머릿속은 뿌옇게 흐려지는 걸까. 바이러스가 뇌로 침입하는 걸까? 지난해 12월 〈네이처 뉴로사이언스〉에서 발표한 내용에 따르면 워싱턴 대학 연구팀이 코로나19가 철통 방어벽인 두뇌를 어떻게 침투하고 기억을 잃게 하는지 쥐 실험을 통해 확인했다고 밝혔다.
연구진은 코로나19 바이러스 세포의 침투 열쇠인 S(Spike) 단백질을 환자 두뇌 내부에서 발견했다. 두뇌는 혈관 벽이 아주 촘촘한 두뇌 혈관 장벽(BBB, Blood Brain Barrier)을 만들어 외부침입자를 막는데 바이러스 껍질(S 단백질)이 통과했다면 바이러스도 그럴 가능성이 크다. 바이러스 껍질이 내부로 들어오면 두뇌는 비상이다. 외부침입자로 판단하여 두뇌 파수꾼인 식균세포(마이크로글리아)가 득달같이 몰려들어 총을 쏴댄다. 일명 ‘싸이토카인 폭풍’으로 두뇌는 몸살을 앓는다. 염증반응이다. 피부가 긁히면 침입 균 때문에 벌겋게 붓고 곪는 것과 같다. 염증은 가라앉아도 종종 흔적을 남긴다. 몸은 침입 바이러스를 죽이려 하지만 두뇌는 후유증으로 안개처럼 뿌옇다.
이렇게 두뇌 혈관 장벽을 뚫고 침입해서 염증을 일으키는 놈이 또 하나 있다. 바로 장내세균 껍질이다. 어떻게 대장에 있던 장내세균이 머리끝까지 기어 올라올까. 게다가 이놈이 치매 원인물질인 두뇌 비정상 단백질(아밀로이드 반점) 속에 들어가 있을까. 두뇌는 장과 서로 연결된 걸까? 맞다. 두뇌와 장이 연결된 소위 ‘두장부일체(頭臟腑一體)’다.
장내세균이 비정상이면 치매가 발생한다.
우리가 어릴 적 배 아프다고 칭얼대면 엄마는 배를 살살 문지르며 노래를 불렀다. ‘엄마 손은 약손, 아기 배는 똥배’ 한국인이라면 익숙한 이 노래 가사는 과학적으로 일리 있는 말이다. 배를 문질러주면 두뇌가 편해진다. 장과 두뇌 사이에 직통 핫라인이 있기 때문이다. 최근 이 핫라인을 통해 장내세균이 두뇌에 직·간접적으로 영향을 미친다는 연구가 퇴행성 뇌질환연구의 핫토픽으로 떠올랐다.
2020년 10월 스위스 제네바의대 연구팀은 치매와 장내세균 연결고리를 찾았다. 연구진은 65~85세 치매 환자 89명의 두뇌 속 아밀로이드 반점 량과 혈액 속 장내미생물 생산물(LPS, SCFA) 관계를 조사했다. 결과는 놀라웠다. 치매 환자는 장내미생물 껍질 (LPS, Lipopolysaccaride)이 혈액, 두뇌에서도 높았고 그만큼 아밀로이드 양도 증가했다. LPS가 치매 유발물질이라는 이야기다.
과정은 이렇다. 장내세균 중 유해균인 대장균그룹의 껍질에는 LPS가 있다. 이 LPS가 혈관 속으로 이동하여 철통같은 두뇌혈관 장벽(BBB)을 통과한다. 두뇌 속에 침투하면 비상이 걸린다. 마치 코로나 S 단백질처럼 뇌 내부가 전투상황으로 점등되어 염증을 일으킨다. 두뇌 세포들은 상처를 입거나 죽는다. 두뇌 사이 신호 연결망인 시냅스도 부서지고 약해진다. 정상적이면 제거되어야 할 아밀로이드 단백질이 서로 엉긴다. 아밀로이드 반점이다. 두뇌 세포 내부의 연결 그물망이 서로 엉겨버린다. 타우단백질이다. 이 두 단백질 덩어리가 치매 원인물질이다. 최근에는 아밀로이드보다 타우가 더 악당으로 알려졌다. 두 단백질 모두 두뇌 속 신호전달을 방해하여 치매를 유발한다. 그럼 장내세균이 치매를 유발하는 악당이란 이야기인가?
반반이다.
장내세균이 만드는 또 다른 물질(SCFA, Short Chain Fatty Acid)은 치매 환자에게서는 낮았고 정상인에게서는 높았다. 이놈은 착한 놈이라는 말이다. 배 속 꽉 차 있는 장내미생물이 치매에 독일 수도 약일 수도 있다는 이야기다. 그 속을 들여다보자.
장-두뇌 연결망

장-두뇌 직통신경망은 쌍방이다.
“사촌이 땅을 사면 배가 아프다”, “그 녀석의 잘난 체에 배알이 꼴렸다” 모두 근거가 있는 말이다. 두뇌가 스트레스를 받으면 두뇌-장 신경(미주신경), 또는 시상하부-뇌하수체-부신 축(HPA)을 따라 대장 세포에 ‘찌릿찌릿’ 신호가 간다. 100만개 신경센서로 신호를 받은 장세포들은 스트레스 물질을 내보낸다. 장내 미생물들이 이 물질 세례를 받는다. 스트레스는 장내 세균을 변화시킨다. 신입사원은 과장의 지겨운 잔소리를 듣고 나면 2시간도 안 되어 대장 속 균 종류가 변한다. 밤늦게 술 마시고 오는 남편 때문에 스트레스를 받는 산모의 태아 장 속 세균 비율이 변하고 염증이 증가한다.
장-두뇌 직통신경망은 쌍방통행이다. 비정상 세균이 장을 차지하고 있으면 나쁜 물질이 만들어져 두뇌에 찌릿찌릿 신호가 올라간다. 물론 나쁜 신호다. 이 신호로 불안·우울증·다발성경화증·파킨슨·알츠하이머·치매·조현병·자폐증 등이 증가하는 것이 동물모델에서 확인되었다.

반대로 장내세균이 정상이면 두뇌에 유익한 물질이 만들어진다. 식이섬유가 많은 식사를 하게 되면 균 종류가 변하고 만들어지는 물질도 변한다. 우리 몸 세포 자체는 식이섬유소를 분해하지 못한다. 즉, 풀을 주식으로 먹고 살 수는 없다. 하지만 장 속 미생물은 다양하다. 인간보다 550배 많은 다양한 유전자 덕분에 인체가 못 만드는 물질을 대신 만든다. 식이섬유에서 만들어진 짧은 지방산(SCFA)은 유익 물질 얼굴마담이다.
나이 든 치매 환자는 착한 균(SCFA 생산)이 줄고 나쁜 균이 늘어나 염증 유발물질(LPS)로 인한 두뇌 염증이 생긴다. 결국 장내세균이 두뇌 건강을 좌우한다. 그럼 우리가 해야 할 일은 무엇일까. 한 가지다. 좋은 장내세균을 유지하는 일이다.
장내세균이 치매 예방치료 대안이다.
장내세균은 태어날 때 모체에서 선발되어 태아에게 전해진다. 자연분만, 모유 수유가 장내세균 정착에 유리하다. 요즘은 제왕절개를 하더라도 산모 분비물을 일부러 입에 묻혀주어 유익균 전달을 돕는다. 모유에는 산모가 미리 선발해 놓은 유익균이 들어있다. 생후 2년이면 장내세균이 안정화된다. 유전, 건강 상태, 먹는 음식, 라이프 스타일에 따라 장내세균 개인차가 심하다. 대장 세포 70%는 면역세포다. 면역세포와 장내세균은 서로 잽을 날리면서 상대방을 알아간다. 장내세균을 자주, 많은 종류를 접할수록 유아 면역은 맷집이 세어진다. 소위 ‘면역관용’이 생겨 사소한 물질에 놀라 자기 몸에 ‘총질’을 하지 않는다. 아토피, 천식은 이런 훈련과정이 부족해서다. 밸런스 잡힌 면역이야말로 건강의 핵심이고 그걸 장내세균이 ‘셋업’한다는 말이다.
치매치료제가 없는 상황에서 최선은 조기진단과 예방이다. 조기진단은 아직 걸음마 상태다. 최근 일본 연구팀이 장내미생물 중 특정 세균(박테로이드)그룹이 초기 치매 환자에게 증가해 있음을 발견해서 장내세균으로 조기진단이 가능함을 보였다(2020.5 네이처 사이언티픽리포트). 조기진단이 가능해지면 이제는 본격적인 예방책이 필요하다. 치매 예방 맞춤형 장내세균을 우리가 만들 수 있을까?

장내세균을 변화시키는 방법은 두 가지다. 식사로 좋은 균 정착시키기, 그리고 건강한 사람 균(변)을 이식하기다. 균형 잡힌 식사를 통한 유익한 장내세균 정착법이 장기적으로, 궁극적으로 가장 좋다. 반면 건강인의 장내세균 이식 방법은 단기에 직접 효과를 볼 수 있다. 물론 사전에 유해 바이러스 검증이 절대 필요하다. 초기 치매 환자 경우 지중해식 다이어트를 통해 특정 유익균을 증가시킬 수 있었고 치매 유익 물질(SCFA)이 늘어났고 치매 현상이 감소했다. 장내세균이 치매의 조기진단, 예방, 개선이 가능하다는 이야기다.
현대의학 대부인 히포크라테스는 “모든 병은 장(腸)에서 시작한다”라고 했다. 인간은 지구상에 나타날 때부터 외부 미생물과 접촉·공존·상호진화 해 왔다. 이런 인체 미생물의 90%가 몰려있는 장이야말로 건강의 핵심이다. 이제 장내세균에게서 공생(共生)의 지혜를 배워야 할 때다.
이 글의 저자 김은기 교수는 한국생물공학회장 및 과학문화 창의재단 바이오 문화 사업단장을 역임하고 국제 SCI급 논문 150편 및 40여 건의 특허를 갖고 있다. 저서로는 2019 《미래의 최고직업, 바이오가 정답이다》, 《톡톡 바이오 노크 : 바이오 세상을 바꾸다》, 2020 《피부나이를 거꾸로 돌리는 바이오 화장품》 등 10권의 바이오 분야 책을 출간했다.
'2-인체공생균 > 장내세균 시리즈(잡지연재)' 카테고리의 다른 글
| (6)먹는 단백질 종류, 량에 따라 수명이 달라진다 (0) | 2021.12.12 |
|---|---|
| (5)탈모, 모낭세포의 성장을 막는 놈을 잡아라. (0) | 2021.10.12 |
| (4)전립선암과 장내세균 직통라인이 있다 (염증이 유발하는 전립선암) (0) | 2021.09.15 |
| (3)인체공생균 패턴을 조사하여 질병을 진단,치료한다 (3:개인맞춤형 식단의 진단과 처방) (0) | 2021.08.09 |
| (2)누렁코를 없애는 유익균을 찾아라 (0) | 2021.04.24 |
댓글