news.joins.com/article/23419368 (중앙일보 바로가기)
수면 부족하면 치매 걸릴 확률 높다고?
잠 푹 못 자면 뇌 단백질에 염증이...
news.joins.com
[김은기의 바이오 토크] 알츠하이머 유발자
평소 밝던 H 여사장 얼굴이 어둡다. 눈 아래 다크서클로 칙칙하기까지 하다. 잠을 설쳤단다. 스마트폰 두뇌테스트 결과가 ‘치매 위험’ 점수였다. 치매를 앓고 있는 모친 생각에 유전일지 걱정이란다.
잠 푹 못 자면 뇌 단백질에 염증
아밀로이드·타우 엉겨 치매 불
발병 20년 전부터 치매물질 쌓여
7년 전부터는 뇌세포 죽기 시작
치료제는 없고 초기 증상 완화뿐
주사로 치매 쥐 기억 살리는 단계
국내 성인이 가장 두려워하는 병은 무얼까. 암? 아니다. 조기진단 암은 완치율이 90%를 넘는다. 국내 40대 성인이 가장 두려워하는 건 치매다. 치매는 주로 60대부터 나타난다. 하지만 40대에 이미 시작되고 있었다. 모르고 있을 뿐이다. 어제 간 식당 이름이 기억나지 않고 같은 이야기를 반복한다. 이런 전형적인 치매증상이 나타나면 되돌리기에는 이미 늦었다.
치매는 기억만 가물가물해지는 병이 아니다. 미국인 사망원인 6위다. 진단 후 8~10년 사이 사망하는 무서운 병이다. 치매는 치료제가 없다. 현재 400건의 치매치료제가 임상 중이지만 미 식품의약청(FDA)이 승인한 건 5개뿐, 그나마 치료가 아닌 초기 증상 완화제다. 유일한 예방책은 조기진단에 의한 사전대비다. 인공위성을 화성에 착륙시킨 첨단과학이 치매를 치료할 수 있을까. 최근의 연구는 희망이 보인다. 조기진단 실마리를 찾았다. 무엇보다 사라진 기억을 되살릴 수 있다. 핵심은 숙면(熟眠)이다.
치매환자 뇌의 생체시계 뒤죽박죽

뇌세포(청색, 자색) 사이사이 노폐물(황색·아밀로이드, 타우)이 청소되지 못하고 만성염증을 일으켜 뇌세포를 죽인다.
하룻밤 설치고 나면 다크서클이 생긴다. 눈 아래 얇은 피부 속 정맥혈관들이 일시적으로 확장되면서 눈 밑이 검게 보인다. 왜 혈관이 확장될까. 면역의 한 종류인 염증반응 때문이다.
다크서클은 일시적이다. 금방 사라진다. 진짜 문제는 뇌다. 수면부족이 염증반응을 일으키고 이게 치매물질을 만든다. 2019년 저명학술지 ‘사이언스’에 의하면 잠을 제대로 못 자면 치매물질이 급속도로 생겨 퍼진다. 연구진이 잠 못 잔 쥐 뇌세포를 조사해 보니 정상수면 쥐보다 치매물질(타우) 농도가 2배 높아져 있었다. 특히 단기기억 부위인 해마가 수면부족에 직격탄을 맞았다. 해마에서 시작된 치매물질은 쓰나미처럼 전체 뇌로 퍼져나갔다.
타우, 아밀로이드는 치매 주범이다. 둘 다 정상 뇌세포에서 생산되지만 여러 이유로 변형·축적된다. 이놈들이 뇌세포(뉴런) 사이의 신호 전달을 막고 결국 뇌세포를 죽인다. 이게 알츠하이머 치매다. 치매의 60%에 해당한다. 나머지 25%는 뇌 모세혈관이 막히는 혈관성치매다. 알츠하이머 치매 원인은 1% 유전, 99% 환경(생활습관)이다.
이번 ‘사이언스’ 논문은 생활습관 중 잠 부족이 치매 주범임을 밝혔다. 즉 수면부족이 뇌세포에 염증을 일으키고 이로 인해 뇌 단백질(아밀로이드·타우)이 엉겨서 치매를 유발한다는 이야기다. 쥐 연구다. 사람도 같을까.

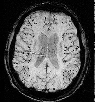
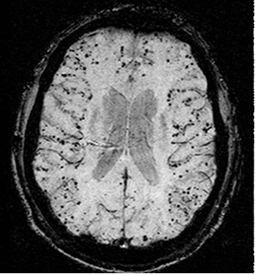
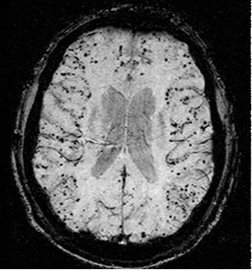
뇌 속 치매 덩어리(검은 점·아밀로이드 단백질)
치매로 사망한 환자 뇌를 직접 꺼내 조사해 보니 생체시계가 뒤죽박죽이다. 결국 수면부족이 해마 내부 생체시계를 망가뜨려 잠 못 자는 악순환이 거듭된다. 해마가 망가지면 단기기억도 안 된다. 기억하려면 잠이 필수인 이유다. 사건 전날과 다음날 숙면을 해야 해마 단기기억회로가 튼튼해진다. 수면부족과 치매가 연결되어 있다는 증거는 유전자에서도 확인된다. 즉 대표적인 치매유전자(Apoe4) 보유자 1264명을 조사해 보니 40% 이상 수면부족 증상을 보였다. 수면이 치매와 직결되어 있다면 이를 이용한 조기진단은 가능할까.

치매 환자. 정상(왼쪽) 에 비해 뇌세포가 죽어 위축됐다. 종합사고담당 대뇌피질①, 단기기억 해마②)가 졸아들었고 뇌 사이 공간③이 넓어졌다.
미 워싱턴의대 연구진은 정상적으로 보이는 사람도 혈액 속에 치매물질이 쌓여 있음을 수면뇌파검사로 정확하게 예측했다. 연구진은 치매증상이 전혀 없는 60세 이상 노인 119명 수면패턴을 조사했다. 깊은 잠(논렘수면)을 못 자는 사람들에게선 증세가 없다뿐이지 이미 치매물질이 쌓이기 시작했다. 이제 간단히 헤드셋을 쓰고 수면뇌파 검사하면 치매 조기진단을 할 수 있다.
그럼 치매는 날아간 화살인가. 돌이킬 수 없는 걸까. 최첨단과학은 되살릴 수 있다고 이야기한다.
예방법은 운동·건강식·깊은 수면
미 버펄로대학 연구진은 주사 한 방으로 치매 쥐의 기억을 다시 살려냈다. 연구진은 치매 99%가 평상시 생활습관에서 발생한다는 것에 힌트를 얻었다. 평상시 생활습관은 구체적으로 DNA에 흔적을 남긴다. 즉 DNA에 꼬리표(메틸, 에틸기)가 붙는다. 꼬리표가 붙는 방식에 따라 DNA 작동 여부가 결정된다. 치매 원인 중 하나는 뇌세포 신호물질(글루타메이트 수용체)을 만드는 DNA에 꼬리표가 잘못 붙어 신호전달이 안 되는 경우다. 버펄로대학 연구진은 주사 한 방으로 이 꼬리표를 떼어냈다. 그러자 DNA가 정상 작동했고 신호물질이 제대로 만들어져 기억이 다시 살아났다. 치매치료에 희망이 보인다. 하지만 쥐 실험결과다. 인간에게 적용되어 치매를 역전시키려면 시간이 걸린다. 가라앉는 보트 물을 퍼내기보다는 구멍이 안 생기게 하는 예방이 최선이다. 40대는 무얼 해야 하나.
무엇이 보트에 구멍을 낼까. 과학자들이 꼽은 가장 큰 치매위험인자는 고혈압·비만(40대), 우울증·청각상실·수면부족(60대)이다. 그럼 무엇이 보트를 단단하게 할까.
하버드의대 보고서에 따르면 가장 확실한 치매예방법은 운동, 건강식, 깊은 수면이다. 1주 3~4회 30분 땀 흘릴 정도의 운동량이다. 식사는 지중해식(신선 야채·통곡물·생선·우유·소량 붉은 쇠고기), 수면은 7~8시간 숙면을 하면 치매물질이 제거된다. 낮잠은 필요시에만 15분 이내 자라. 길면 수면 방해한다. 고스톱은 어떨까. 새로운 것을 배우거나 신문을 읽거나 하는 것같이 무언가를 하는 사회활동은 뇌 속 신경전달물질(BNDF)을 높이고 뇌세포 연결을 튼튼하게 하고 두뇌위축을 막는다. 3294명 실험 결과 사회활동은 치매를 33% 감소시켰다. 연구진들은 사회활동의 양보다는 질, 즉 적더라도 맘 맞는 친구들과의 만남, 무엇보다 본인이 좋아하는 활동을 추천한다. 91세에 사망하기 전까지도 왕성하게 그림을 그렸던 피카소, 94세까지 피아니스트로 활동한 루빈슈타인, 모두 치매와는 거리가 먼 사람들이다.
치매 발병은 나이에 따라 증가한다. 65세 3%, 85세 40%다. 여성이 많은 이유는 수명이 길어서다. 하지만 늙는다고 모두 치매가 되지는 않는다. 나이 들면 기억력은 떨어지지만 정확도는 유지된다. 치매는 비싼 병이다. 장기요양, 입원해야 한다. 집 요양환자 3분의 2는 치매환자다. 평소 건강습관이 최선의 예방법이다. 다크서클 생겼던 H 여사장처럼 잠 못 자면 치매위험이 높아진다. 기억을 잃으면 모든 걸 잃는다.
“행복한 인생은 사랑했던 사람들의 기억이다.” 헬렌 켈러의 말처럼 좋은 기억을 간직하며 늙는 게 행복이다.
햇볕 아래 30분 운동이 숙면에 좋아

[그래픽=이정권 기자 gaga@joongang.co.kr]
깊은 잠에 빠지려면 2가지가 딱 맞아야 한다. 생체시계와 육체 피로다. 태양 기준 생체리듬에 따라 두뇌에는 수면호르몬(멜라토닌)이 높아진다. 더불어 낮 동안 육체적 활동으로 피로물질(아데노신)이 축적된다. 이 두 개가 최고점에 도달할 때 수면스위치가 찰칵 켜진다. 수면유전자들이 일제히 켜지면서 숙면상태가 된다. 두 가지를 동시에 만족시키려면 햇볕 아래 30분 운동이 최고다. 텃밭 일도 1석2조다. 주중에 틀어진 생체리듬을 햇볕으로 다시 맞추고 육체피로를 높인다. 잠들기 전 청색 LED, 두뇌운동은 피하라. 개인별 잠들기 루틴, 즉 ‘잠자기 의식’으로 매일 그걸 따라 하며 스르륵 잠이 들게 하라.
'1-중앙일보연재;김은기의 바이오토크 > 분야별 컬럼 모음' 카테고리의 다른 글
| [중앙SUNDAY 김은기의 '바이오 토크']<92> 통곡물·과일 섬유소, 면역 진정시켜 고혈압·당뇨 잡는다 (0) | 2025.03.25 |
|---|---|
| [중앙SUNDAY 김은기의 '바이오 토크']<91>천국 봤다는 임사체험, 마취제 몰래 주사해도 같은 반응 (0) | 2025.03.25 |
| [중앙SUNDAY 김은기의 '바이오 토크']<89> 30억개 DNA 뒤져 모든 암 세포 ‘명찰’ 찾아내 일망타진 (0) | 2025.03.25 |
| [중앙SUNDAY 김은기의 '바이오 토크']<88> 카사노바는 아들 부자? 동물은 맞고 사람은 아니다 (0) | 2025.03.25 |
| [중앙SUNDAY 김은기의 '바이오 토크']<87> ‘이암제암’ 항암 실험…귀환병에 폭탄 심어 자폭 키스 유도 (0) | 2025.03.25 |
댓글